Menace sur l’exercice des médecins spécialistes libéraux
Communiqué de presse Menace sur l’exercice des médecins spécialistes libéraux Paris, 4 avril 2024 La décision du gouvernement d’augmenter de 0,3% le financement des cliniques et des hôpitaux privés à but lucratif, alors que ... lire la suite >>
Décret sur le renouvellement de certaines autorisations
Un décret prévoit que le titulaire d'une autorisation d'activité interventionnelle par voie endovasculaire en neuroradiologie en cours de validité au 31 mai 2023, délivrée conformément aux dispositions applicables avant l'entrée en vigueur du présent ... lire la suite >>
Flash Info AVENIR SPE 25/03/24 : Médecins non adhérents à une AGA – récupérez une partie de vos impôts !
Médecins non adhérents à une Association de Gestion Agréée (AGA) - récupérez une partie de vos impôts ! Chère consœur, cher confrère, Le législateur français avait déjà prévu la suppression, à partir ... lire la suite >>
Colloques Pharmaceutiques I Web conférence : Radiologie : le fleuron de la médecine augmentée
Colloques Pharmaceutiques Web conférence mercredi 20 mars 2024, de 8h45 à 12h45 Débats sur le thème " Radiologie : le fleuron de la médecine augmentée". Gestion des produits de contraste, partage des données, développement ... lire la suite >>
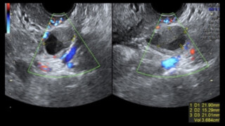
Quelle médecine pour les français ? Endométriose : Le rôle central de l’imagerie
Le mois de mars est depuis plusieurs années l’occasion de sensibiliser le grand public à une maladie peu ou mal connue, l’endométriose. Touchant plus d’1 femme sur 10 en âge de procréer, elle est ... lire la suite >>
Quelle médecine pour les français ? Examens des scanner ou d’IRM : simplifier la vie des patients, préserver l’environnement
A l’initiative de la Fédération Nationale des Médecins Radiologues (FNMR), syndicat des radiologues libéraux, et dans le cadre d’un accord avec l’Assurance Maladie, les patients n’auront plus à aller chercher leurs produits de contraste ... lire la suite >>
Aide au paiement des factures d’électricité 2024
Cette fiche explicative présente les différentes aides au paiement des factures d’électricité pour 2024. Voir & Télécharger en PDF
Réforme des produits de contraste : arrêté d’agrément pour les établissements de santé
Cet arrêté permet l’usage de PDC iodés et gadolinés par les établissements de santé publics. Il comprend principalement des PDC iodés multipatients. Voir & Télécharger en PDF ... lire la suite >>
Réforme des produits de contraste : arrêtés de radiation
Dans le cadre de la réforme des produits de contraste, plusieurs arrêtés ont été pris concernant les PDC qui doivent être achetés depuis le 1er mars par les structures détentrices des autorisations d’équipements matériels ... lire la suite >>
PRIVALENCE BY FNMR
PRIVALENCE : Faire prévaloir l'intérêt des radiologues libéraux Investissements, masse salariale, budget de fonctionnement, énergie... La maîtrise des coûts est primordiale pour la santé financière des centres d'imagerie médicale. Dans ce contexte, il est capital de bien ... lire la suite >>
PRIVALENCE BY FNMR I Communiqué de presse
COMMUNIQUE DE PRESSE 22 février 2024 PRIVALENCE : La centrale de référencement pour la radiologie libérale par les médecins radiologues libéraux Investissements, masse salariale, budget de fonctionnement, énergie… La maîtrise des coûts est primordiale pour la ... lire la suite >>
Réforme des produits de contraste : Mode d’emploi
Questions / réponses La réforme des produits de contraste, qui entre en vigueur au 1er mars 2024, modifie le circuit d’approvisionnement et les modalités de financement des produits de contraste, utilisés en radiologie pour ... lire la suite >>
CCN du personnel des cabinets médicaux – Avenant n°90 | Salaires
Convention collective du personnel des cabinets médicaux Avenant n° 90 relatif aux salaires et aux jours de congés supplémentaires accordés en fonction de l'ancienneté Source : CCN ... lire la suite >>
Diviser pour mieux régner : Avenir Spé s’oppose à cette stratégie délétère
Paris, le 12 février 2024 Depuis sa création, Avenir Spé promeut une médecine d’excellence centrée sur la qualité des soins. Cela passe, entre autres, par une coopération entre tous les acteurs et une valorisation ... lire la suite >>
Quelle médecine pour les français ? Un enjeu démocratique majeur
Dans le débat public, la question de la santé est souvent posée de manière caricaturale. On nous parle du « trou » de la sécu, des déserts médicaux et on conclut en disant qu’il ... lire la suite >>
Un camouflet pour le secteur de la médecine d’expertise
Lettre ouverte Paris, 13 février 2024 Avenir Spé - LE BLOC, premier syndicat de médecins spécialistes, a analysé l’ensemble des propositions de la CNAM lors de la séance de négociation du 8 février avec les ... lire la suite >>
Décret relatif au rôle du physicien médical
JO 10/02/24 - Décret relatif au rôle du physicien médical (pour radiothérapie, médecine nucléaire, radiologie interventionnelle et diagnostique) Le texte précise les missions et les conditions d’intervention du physicien médical. Il prévoit notamment les ... lire la suite >>
La FNMR et AG2R La Mondiale, unis dans la prévention du cancer du sein
Partenariat historique entre la FNMR et AG2R La Mondiale contre le cancer du sein Partenariat historique entre la FNMR et AG2R La Mondiale contre le cancer du sein ... lire la suite >>
Tarifs FT scanner IRM au 1er mars 2024
Revalorisation de TOUS les FT au 1er mars 2024 Publication au Journal Officiel du 6/02/24 de l’arrêté du 2/02/24 modifiant la convention nationale organisant les rapports entre les médecins libéraux et l’assurance maladie. Modification ... lire la suite >>
Partenariat FNMR – AG2R La Mondiale
Partenariat historique entre la FNMR et AG2R La Mondiale
De la radiologie à l’imagerie médicale de pointe, sommes-nous prêts à relever le défi ?
L’imagerie médicale joue un rôle central dans la pratique de la médecine, non seulement en tant qu’outil diagnostique, mais aussi dans le suivi, le traitement et la prévention des maladies. Son importance est essentielle ... lire la suite >>
Décret déconventionnement d’office
Ce décret permet le déconventionnement d’office d’un professionnel de santé fraudeur en cas de récidive. Sont prises en compte les pénalités prononcées par un organisme d'assurance maladie, les "condamnations pénales ou ordinales" pour des ... lire la suite >>
Décrets médecine nucléaire et traitement du cancer
Ces deux décrets précisent les conditions d’implantation et de fonctionnement de plusieurs activités, dont la médecine nucléaire et le traitement du cancer. Voir & Télécharger en PDF Voir ... lire la suite >>
Décret réforme produits de contraste
Ce décret prévoit notamment d’autoriser les structures titulaires d’autorisations à commander des produits de contraste, via un médecin désigné comme responsable au sein de la structure. Voir & Télécharger en PDF ... lire la suite >>
























